We announce with an all too familiar mix of trepidation, anxiety, excitement, hope and fear that we today received some great news from Dr Shivani....
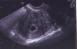
We are about 5 weeks and 2 days pregnant with a baby brother or sister for Beau! Last week, we had our Beta blood test results of around 97.6 which we are of course excited and nervous about... we were clearly pregnant, but we didn't know how to feel about an 'okay' beta level.
Todays scan shows a clear single gestational sac and we hope and pray that our singleton baby is strong, comfortable and ready to develop a heartbeat in time for next week's scan!!!!!!
We didn't know whether to share this news or not, whether to wait a few weeks... to blog or not to blog, that is the questions! But whether we are right or wrong to do so, we came to the conclusion that what will be will be, and as superstitious as we might be, our odd actions and obsessive compulsive bizarre thinking hopefully don't play much part in the outcome. We just hope and pray that God and Mother Nature is on our side, and that our continued desire for another baby and a good helping of positive energy will help us get the results we so desperately wish to see next scan.
Beau brings so much warmth, love and light into our lives, it's impossibly exciting to think how amazing growing our family might be.
So if anyone has some spare positive energy lying around the house, please feel very welcome to throw it out way :)
Until next week.........
We are about 5 weeks and 2 days pregnant with a baby brother or sister for Beau! Last week, we had our Beta blood test results of around 97.6 which we are of course excited and nervous about... we were clearly pregnant, but we didn't know how to feel about an 'okay' beta level.
Todays scan shows a clear single gestational sac and we hope and pray that our singleton baby is strong, comfortable and ready to develop a heartbeat in time for next week's scan!!!!!!
We didn't know whether to share this news or not, whether to wait a few weeks... to blog or not to blog, that is the questions! But whether we are right or wrong to do so, we came to the conclusion that what will be will be, and as superstitious as we might be, our odd actions and obsessive compulsive bizarre thinking hopefully don't play much part in the outcome. We just hope and pray that God and Mother Nature is on our side, and that our continued desire for another baby and a good helping of positive energy will help us get the results we so desperately wish to see next scan.
Beau brings so much warmth, love and light into our lives, it's impossibly exciting to think how amazing growing our family might be.
So if anyone has some spare positive energy lying around the house, please feel very welcome to throw it out way :)
Until next week.........











